—云南省第一人民医院对口帮扶新平县总医院医疗队驻科专家集体发力,成功救治1名重症颅内静脉窦血栓(CVST)患者
“同心同向聚合力,众志成城攀高峰。团队如磐不可摧,目标必达势如虹。”近日,云南省第一人民医院对口帮扶新平县总医院医疗队充分弘扬精诚合作、迎难而上的团队精神,本着“你以性命相托,我必全力以赴”的责任担当,成功救治1名重症颅内静脉窦血栓(CVST)患者。这也是云南省第一人民医院对口帮扶新平县总医院医疗队自2022年入驻北院区(新平县人民医院)以来,首次以团队力量救治急危重症患者,标志着云南省第一人民医院对口帮扶新平县总医院工作取得了新的突破。

据悉,患者为女性,现年52岁,因“突发剧烈头痛、肢体偏瘫,伴颅内压升高”到新平县总医院北院区就诊,并先后入住新平县总医院北院区急诊医学科和神经内科。鉴于患者入院后,泛静脉窦血栓形成,病情复杂且进展迅速,新平县总医院迅速启动多学科会诊机制,由云南省第一人民医院对口帮扶新平县总医院医疗队驻北院区神经内科专家刘惠牵头,联合驻医学影像科专家陈渝晖,驻急诊医学科专家李娅菲、主管护士杨彦红,驻药学部专家李寅珊、驻超声科专家唐娅玲共同为患者开展救治。在紧张的救治过程中,6名专家充分发挥各自的专业特长,默契配合,有条不紊地为患者开展救治。驻医学影像科专家陈渝晖及时、准确诊断出静脉窦血栓,并指导治疗。同时,动态观察病情,及时调整治疗方案;驻神经内科专家刘惠第一时间识别颅内静脉窦血栓(CVST),并启动抗凝治疗和动态评估神经功能;驻急诊医学科专家李娅菲及时对患者进行抢救,并动态复查头颅CT;驻药学部专家李寅珊及时排查血栓病因,并提供规范用药指导;驻超声科专家唐娅玲为患者完善四肢及心脏B超检查,确保患者生命体征稳定;驻急诊医学科主管护士杨彦红不断加强患者肢体康复护理,预防下肢深静脉血栓形成。在6名专家的全力救治下,患者生命体征恢复平稳,神经功能逐步改善,静脉窦实现再通,脑梗死及出血吸收良好,现已顺利出院。

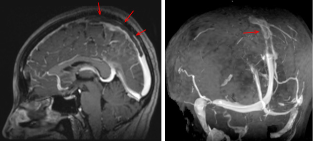
广泛上矢状窦静脉血栓

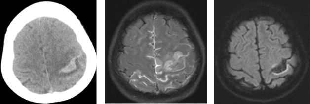
静脉性梗死伴出血
“心存希冀,追光而遇;目有繁星,沐光而行。”本次重症颅内静脉窦血栓(CVST)患者的成功救治,极大地提升了新平县总医院的脑血管病急救能力,为实现急危重症患者在县内救治奠定了坚实的基础。在今后的发展进程中,新平县总医院将深入学习贯彻习近平新时代中国特色社会主义思想,全力树牢“以人民健康为中心”的发展思想,努力践行“人民医院为人民”的医院宗旨,借力使力,奋楫笃行,积极依托云南省第一人民医院的医疗资源优势,充分借力对口帮扶专家的专业特长,全力提升急危重症综合救治能力,努力为县域急危重症患者提供更为优质、高效、安全、满意的医疗服务,让医学不再止于延长患者生命,更在于提升患者生命质量。
撰稿:罗清富 编辑:罗清富 校对:龚兆文 审核:刘家会
附:云南省第一人民医院2025年度对口帮扶新平总医院医疗队专家简介

陈渝晖,云南省第一人民医院磁共振科副主任医师。先后以第一作者身份撰写专业论文10余篇,主持科研项目2项,参与科研项目10余项,获省科技进步三等奖1项,卫生科技成果三等奖1项。研究方向为:女性生殖系统疾病、盆底功能障碍性疾病、胎盘植入性疾病的影像诊断。
驻点科室:新平县总医院北院区医学影像科
帮扶时间:2025年6月—2026年6月

李娅菲,硕士研究生,云南省第一人民医院急诊内科/EICU主治医师。先后发表SCI论文多篇,参与国家级多中心项目研究两项,省级重点专科项目立项一项;从事急诊与重症医学多年,擅长脓毒症、急性重症胰腺炎、重症肺炎、蛇咬伤、菌中毒等急危重症疾病的诊治,以及ECMO病人管理。
驻点科室:新平县总医院北院区急诊医学科
帮扶时间:2025年6月—2026年6月

刘惠,云南省第一人民医院神经内科主治医师。研究方向为:癫痫、神经重症。
驻点科室:新平县总医院北院区神经内科
帮扶时间:2025年6月—2026年6月

唐娅玲,云南省第一人民医院超声科主治医师,从事超声诊断工作15年,擅长腹部、消化、泌尿、小器官、浅表包块、肌骨、神经、心脏、血管超声检查及小儿髋关节发育不良超声筛查。
驻点科室:新平县总医院北院区超声科
帮扶时间:2025年6月—2026年6月

李寅珊,医学硕士,云南省第一人民医院药学部主管药师,中、西药执业药师,为肝胆外科驻科临床药师、肠内肠外专业临床药师。
驻点科室:新平县总医院北院区药学部
帮扶时间:2025年6月—2026年6月

杨彦红,云南省第一人民医院急诊内科主管护师。擅长急危重症抢救、血液净化、ECMO、呼吸机人工辅助通气治疗。
驻点科室:新平县总医院北院区急诊医学科
帮扶时间:2025年6月—2026年6月