磁共振弥散成像(DWI)是磁共振家族里的“功能派选手”,不靠看器官的“长相”,而是盯着人体内水分子的“一举一动”。正常情况下,水分子会自由地做布朗运动(也就是无规则弥散)。可一旦组织发生病变,比如细胞水肿、癌变、缺血,水分子的活动就会受到限制。DWI就像装了“监控探头”,能敏锐捕捉到这种运动变化,再通过ADC图(表观弥散系数图)进行定量分析,让病变无处遁形。

相较于传统的影像检查,DWI具有显著的优势,主要体现在以下四个方面:
1.敏感如雷达。病变早期,哪怕器官形态还没发生变化,只要水分子运动异常,DWI就能第一时间发现信号,尤其对急性脑梗死,能快速捕捉急性病变,是急诊和早期诊断的关键工具,发病30分钟左右就能揪出病灶,为抢救争取黄金时间。
2.安全无负担。不用注射对比剂,DWI规避了过敏和肾损伤风险,也没有X线辐射,适合各类人群。
3.诊断超靠谱。结合DWI高信号和ADC值的高低,能精准区分病变良恶性,大大减少误诊漏诊。
4.应用超广泛。从神经、腹部到骨骼肌肉系统,都能派上用场,堪称“多面手侦探”。

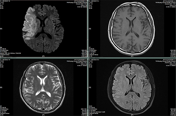
图一:超急性期脑梗死,普通磁共振检查系列没有发现病变,但DWI能快速捕捉到病变。

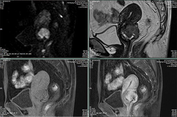
图二:DWI快速识别发现肿瘤,可初步判断良恶性倾向。
总体而言,DWI的核心价值在于它打破了传统影像“看形态”的局限,实现了由“看形态”向“看功能、看分子”的跨越,让疾病诊断从“晚期发现”升级为“早期预警”。从急性脑梗死的紧急诊断,到肿瘤的良恶性鉴别,这位影像界的“分子侦探”一直在默默守护着健康。随着医疗技术的发展,相信DWI必将在更多疾病的诊疗中发挥出更大的作用!
供稿:李林堂 编辑:罗清富 校对:龚兆文 审核:阳吉猛